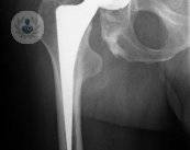
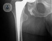
Reemplazo de cadera robótico de precisión submilimétrica: el nuevo estándar en recuperación y calidad de vida
La cirugía robótica permite una planificación personalizada y una ejecución con exactitud submilimétrica, mejorando la estabilidad, la seguridad y la recuperación funcional







