topdoctors logo
EspecialidadesEnfermedadesClínicas y CentrosDentistas

Pedí un turno

Teclea el nombre de la Especialidad, Tratamiento, Patología o Prueba Médica buscada

  • Inicio
  • Artículos médicos
  • Categorías
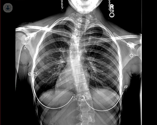
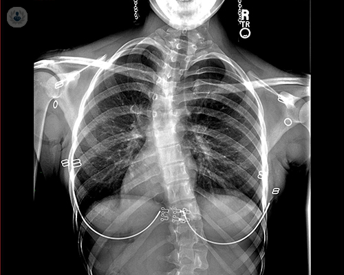
  • Escoliosis en Adultos

Artículos médicos de Escoliosis en Adultos

  • escoliosis
    Redacción de Top Doctors
    21/08/2017
    Redacción de Top Doctors

    Cómo abordar la escoliosis o desplazamiento lateral de la columna

    ¿Sabes qué es la escoliosis? ¿Y cuál es el mejor método para tratarla? El Dr. Pérez-Hickman, especialista en Traumatología, lo explica.

  • escoliosis
    Redacción de Top Doctors
    17/10/2016
    Redacción de Top Doctors

    El porqué de la curvatura de la columna

    ¿Sabías que la época del año en la que más escoliosis se diagnostican es en verano? El Dr. Álvarez Galovich, experto traumatólogo, explica el porqué.

  • escoliosis-lumbar
    Redacción de Top Doctors
    18/07/2016
    Redacción de Top Doctors

    6 preguntas frecuentes sobre la escoliosis

    La escoliosis es una malformación que puede llegar a generar muchas complicaciones. El Dr. Sebastián Bueno, especialista en Traumatología y jefe de la Unidad de Columna Vertebral en IMATDE, responde a las preguntas más frecuentes sobre esta patología.

  • imagen-columna
    Redacción de Top Doctors
    11/12/2015
    Redacción de Top Doctors

    Causas y cirugía del dolor lumbar y de la ciática

    El Dr. Cobo Soriano explica qué es el lumbago, cuál es su tratamiento y cuándo es necesaria la cirugía.

  • lumbalgia
    Redacción de Top Doctors
    10/11/2015
    Redacción de Top Doctors

    ¿Qué son la lumbalgia y la ciática?

    La columna lumbar está formada por 5 vértebras y 5 discos que se numeran de arriba a bajo. Explica el Dr. Cobo Soriano que los discos intervertebrales se sitúan entre los cuerpos vertebrales y hacen la función de amortiguador.

  • escoliosis
    Redacción de Top Doctors
    14/09/2015
    Redacción de Top Doctors

    Escoliosis, ¿cómo detectar el problema en los niños?

    La escoliosis es una deformidad de la columna vertebral que provoca una curva en el plano frontal y en el lateral. El Dr. García Fontecha te explica en qué consiste y cómo puede detectarse en los niños.

  • escoliosis-sintomas-y-tratamiento imagen de artículo
    Redacción de Top Doctors
    21/10/2013
    Redacción de Top Doctors

    Escoliosis, síntomas y tratamiento

    La escoliosis en adultos produce una serie de síntomas, de estabilidad y neurológicos. El doctor Salvador Fuster es un experto en escoliosis y explica en esta vídeo entrevista cómo son estos síntomas y qué tratamientos existen.

en su provincia

Teclee el nombre de la Especialidad, de la Enfermedad o del Nombre del Doctor buscado

  • Sobre Top Doctors
  • Quiénes somos
  • ¿Por qué elegirnos?
  • Garantía de calidad
  • Cómo funciona el proceso de selección
  • Comité médico
  • Política de privacidad
  • Condiciones de uso
  • Política de cookies
  • Política de uso para aplicaciones de terceros
  • Profesionales de la salud
  • Doctores
  • Centros de excelencia
  • Empresas colaboradoras
  • Forme parte de Top Doctors
  • Atención al paciente
  • Directorios Médicos de Obras Sociales y Prepaga
  • Sugerencias y preguntas
  • Preguntas más frecuentes
  • Todos los tratamientos médicos
  • Prensa y medios
  • Medios de comunicación
  • Artículos médicos
  • Idiomas

Contacto

…

+54 (11) 68419961

Redes sociales
CertificadosComodo Secure
Política de privacidad y Condiciones de uso

Top Doctors Argentina | Paraná 830, Piso 31017. CABA Capital Federal, Argentina