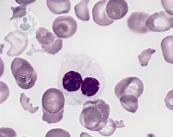
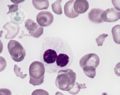
Día Mundial del Cáncer de Sangre: Un llamado a la conciencia y la acción
La ALMA hace un llamado para que cada persona que experimente un síntoma de Fiebre, decaimiento, sudoración nocturna y aparición de moretones, acudan a consulta médica para realizarse controles, estos deben ser de acuerdo a cada etapa de vida y de la salud en general.



