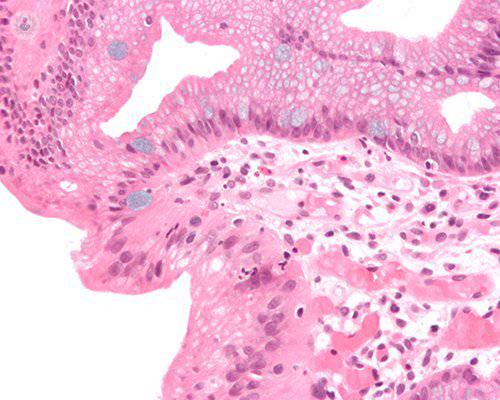
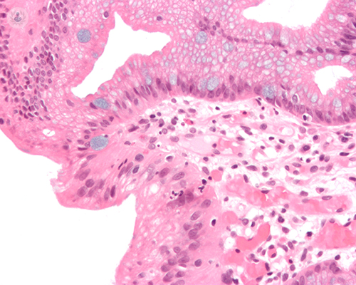
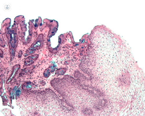
Enfermedad de Barrett: tratamiento y cómo prevenir el reflujo gastroesofágico
La enfermedad de Barrett o Esófago de Barrett está directamente relacionada con el reflujo gastroesofágico, el cual puede llegar a provocar cáncer de esófago. Descubre cuál es su tratamiento y cómo se puede prevenir de la mano del Dr. Call







