topdoctors logo
EspecialidadesEnfermedadesClínicas y CentrosDentistas

Pedí un turno

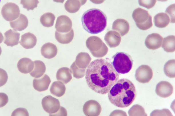
Leucemia Linfocítica Crónica

Teclea el nombre de la Especialidad, Tratamiento, Patología o Prueba Médica buscada

  • Inicio
  • Diccionario médico
  • L
  • Leucemia Linfocítica Crónica
Creado: 10/04/2024

¿Qué es la Leucemia Linfocítica Crónica?

La Leucemia Linfocítica Crónica (LLC) es un tipo de Cáncer de la sangre. Afecta a un tipo de glóbulos blancos llamados linfocitos, que se producen en la médula ósea antes de pasar al torrente sanguíneo. Estas células son importantes para combatir las enfermedades.


La médula ósea comienza a producir un exceso de linfocitos subdesarrollados que no funcionan correctamente. Con el tiempo, esto debilita el Sistema Inmunológico y puede provocar una serie de otros síntomas debido a la producción excesiva de linfocitos que desplazan a otras células sanguíneas de la médula ósea y se propagan a otros órganos a través de la sangre.


La Leucemia Linfocítica Crónica suele afectar a personas mayores de 60 años, y los casos menores de 40 son raros.



Pronóstico de la Leucemia Linfocítica Crónica

La Leucemia Linfocítica Crónica tiende a progresar lentamente, desarrollándose durante muchos años. Es posible que no cause ningún síntoma, particularmente al principio, y puede que no requiera tratamiento si no está causando ningún problema, con chequeos regulares con el médico para controlar la enfermedad.


Si bien, el tratamiento no puede curar la LLC, puede controlar los síntomas. Dependiendo de qué tan avanzada esté la enfermedad cuando se diagnostica, la esperanza de vida de los pacientes puede variar desde unos meses (en casos muy avanzados) hasta más de una década (si se detecta a tiempo).


Pruebas médicas para diagnosticar la Leucemia Linfocítica Crónica

La prueba principal para la CLL es un análisis de sangre. Las Radiografías y otras exploraciones también pueden ser útiles para identificar problemas causados ​​por la CLL y, en algunos casos, se pueden recomendar otras pruebas como una Biopsia de Médula Ósea.


¿Cuáles son las causas de la Leucemia Linfocítica Crónica?

La causa de la Leucemia Linfocítica Crónica aún se desconoce. Se cree que ciertos genes pueden aumentar levemente el riesgo de desarrollarlo.


¿Qué tipo de Especialista trata la Leucemia Linfocítica Crónica?

Los Hematólogos y Oncólogos se encuentran entre los Especialistas que pueden participar en el tratamiento de la CLL.

  • Doctores
  • Telemedicina
  • Clínicas y centros

Teclee el nombre de la Especialidad, de la Enfermedad o del Nombre del Doctor buscado

  • Sobre Top Doctors
  • Quiénes somos
  • ¿Por qué elegirnos?
  • Garantía de calidad
  • Cómo funciona el proceso de selección
  • Comité médico
  • Política de privacidad
  • Condiciones de uso
  • Política de cookies
  • Política de uso para aplicaciones de terceros
  • Profesionales de la salud
  • Doctores
  • Centros de excelencia
  • Empresas colaboradoras
  • Forme parte de Top Doctors
  • Atención al paciente
  • Directorios Médicos de Obras Sociales y Prepaga
  • Sugerencias y preguntas
  • Preguntas más frecuentes
  • Todos los tratamientos médicos
  • Prensa y medios
  • Medios de comunicación
  • Artículos médicos
  • Idiomas

Contacto

…

+54 (11) 68419961

Redes sociales
CertificadosComodo Secure
Política de privacidad y Condiciones de uso

Top Doctors Argentina | Paraná 830, Piso 31017. CABA Capital Federal, Argentina