topdoctors logo
EspecialidadesEnfermedadesClínicas y CentrosDentistas

Pedí un turno

Teclea el nombre de la Especialidad, Tratamiento, Patología o Prueba Médica buscada

  • Inicio
  • Artículos médicos
  • La Ortodoncia Estética

La Ortodoncia Estética

Top Doctors
Escrito por: La redacción de Top Doctors
Publicado el: 27/09/2017 Editado por: TOP DOCTORS® el 25/05/2019

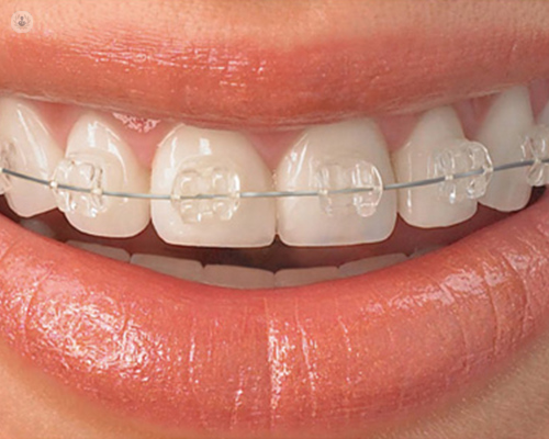
Los especialistas en Odontología y estomatología definen la Ortodoncia Estética como la ortodoncia que intenta ser invisible, es decir, que sólo el paciente sabe que lleva algo en la boca para mover sus dientes de forma que nadie se percate de ello.

La ortodoncia estética es aquella que intenta ser invisible

 

Quién puede someterse a Ortodoncia Estética

Cualquier paciente, de cualquier edad que esté motivado en cambiar la posición de sus dientes, por motivos estéticos o por motivos funcionales, puede solicitar un tratamiento de ortodoncia estética.

 

Tipos de Ortodoncia Estética

Exsisten varios sistemas para llevar a cabo el tratamiento de ortodoncia deseado. Desde braquets transparentes, pegados a la cara vestibular de los dientes; a braquets pegados por la cara lingual; o alineadores transparentes.

 

Ortodoncia Estética vs. Ortodoncia Convencional

Cualquier tipo de ortodoncia es efectivo si se hace un buen diagnóstico y un buen plan de tratamiento. Los sistemas ortodóncicos son vehículos para que el profesional especialista en ortodoncia pueda desarrollar y llevar a cabo el tratamiento ortodóncico adecuado y estable en el tiempo.

en su provincia

Teclee el nombre de la Especialidad, de la Enfermedad o del Nombre del Doctor buscado

  • Sobre Top Doctors
  • Quiénes somos
  • ¿Por qué elegirnos?
  • Garantía de calidad
  • Cómo funciona el proceso de selección
  • Comité médico
  • Política de privacidad
  • Condiciones de uso
  • Política de cookies
  • Política de uso para aplicaciones de terceros
  • Profesionales de la salud
  • Doctores
  • Centros de excelencia
  • Empresas colaboradoras
  • Forme parte de Top Doctors
  • Atención al paciente
  • Directorios Médicos de Obras Sociales y Prepaga
  • Sugerencias y preguntas
  • Preguntas más frecuentes
  • Todos los tratamientos médicos
  • Prensa y medios
  • Medios de comunicación
  • Artículos médicos
  • Idiomas

Contacto

[email protected]

+54 (11) 68419961

Redes sociales
CertificadosComodo Secure
Política de privacidad y Condiciones de uso

Top Doctors Argentina | Paraná 830, Piso 31017. CABA Capital Federal, Argentina