topdoctors logo
EspecialidadesEnfermedadesClínicas y CentrosDentistas

Pedí un turno

Bronquiectasias

Teclea el nombre de la Especialidad, Tratamiento, Patología o Prueba Médica buscada

  • Inicio
  • Diccionario médico
  • B
  • Bronquiectasias
Creado: 02/04/2023
Editado: 21/05/2025
Escrito por: Top Doctors®

¿Qué son las Bronquiectasias?

Las Bronquiectasias son alteraciones en la estructura de los bronquios, que generan un estado inflamatorio crónico de las mismas manifestado por un incremento habitual o esporádico en la producción de moco. Pueden ser clasificadas de varias maneras:

  • Por su origen: pueden ser hereditarias (por ejemplo, en anormalidades de la estructura de las células bronquiales o de las características del moco debidas a alteraciones genéticas) o adquiridas (por ejemplo, como secuelas de una infección broncopulmonar o vinculadas a infecciones recurrentes por problemas con las defensas inmunes)
  • Por su localización: pueden ser difusas, cuando afectan a ambos pulmones, o localizadas, cuando están restringidas a una parte de un pulmón.

 

La clasificación según la forma de las Bronquiectasias (cilíndricas, varicosas, etc.) resulta menos significativa actualmente.

 

¿Qué síntomas presentan los pacientes con Bronquiectasias?

Los síntomas se desarrollan de forma gradual y pueden presentarse meses o años de la formación inicial de las mismas. Los principales son:

  • Tos con expectoración abundante
  • Expectoración con sangre
  • Pérdida de Peso
  • Bronquitis recurrentes
  • Dificultad para respirar

 

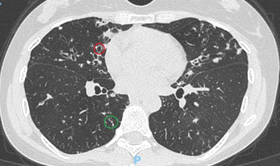
La característica principal desde el punto de vista de las imágenes pulmonares es la dilatación de los bronquios en comparación a las arterias bronquiales acompañantes. Esto suele detectarse al realizar una Tomografía Axial Computada de Tórax (como puede verse en la siguiente imagen, donde el círculo verde señala unos bronquios normales en el lóbulo inferior derecho y el círculo rojo indica bronquios muy dilatados compatibles con Bronquiectasias).


 

¿Cuáles son las causas de las Bronquiectasias?

La inflamación o infección de las vías respiratorias de forma repetida o grave es el sustrato que genera la deformación de los bronquios. Esta inflamación puede ser ocasionado por un proceso focal como una infección (por ejemplo, una neumonía o tuberculosis) o la impactación de un cuerpo extraño (infrecuente en adultos) o a punto de partida de infecciones recurrentes facilitadas por una alteración en los mecanismos de defensa locales o generales.

 

Dentro de estas últimas condiciones las más frecuentes son la Fibrosis Quística, la Discinesia Ciliar Primaria y Síndromes de Inmunodeficiencia en particular aquellos que cursan con baja producción de anticuerpos. Por otro lado, algunas enfermedades bronquiales frecuentes como la EPOC (Enfermedad Pulmonar Obstructiva Crónica), puede en casos graves cursar en forma similar y mostrar bronquiectasias en la Tomografía.

 

Además, las Enfermedades Intersticiales Pulmonares en particular la Fibrosis Pulmonar puede presentar Bronquiectasias denominadas por tracción. Sin embargo, estas últimas son una manifestación de la Fibrosis y habitualmente no presentan gran inflamación y manifestaciones como las mencionadas anteriormente.

 

¿Se puede prevenir esta condición?

Dependiendo de la causa es posible prevenir o mitigar el cuadro. Lo más importante es controlar o disminuir la inflamación bronquial que es el eje fundamental de la enfermedad.

 

En algunos casos como en ciertas variantes de Fibrosis Quística es posible reducir la progresión de la enfermedad mediante el uso de fármacos específicos que corrigen el problema generado por la mutación que ocasiona la enfermedad. En otros casos como la Discinesia Ciliar esto no resulta modificable. En el caso de las Inmunodeficiencias, el tratamiento sustitutivo con inmunoglobulinas puede ayudar a prevenir las infecciones.  

 

Por otra parte, evitar el Tabaquismo resulta importante para prevenir el deterioro funcional. También resulta importante considerar las vacunaciones para enfermedades respiratorias como la antigripal, antineumococcica y eventualmente la del virus sincicial respiratoria.

 

¿En qué consiste el tratamiento de la Bronquiectasia?

El tratamiento depende del caso. En general está orientado a prevenir el ciclo de infección e inflamación bronquial. Para ello es importante fluidificar las secreciones (puede usarse nebulizaciones con agentes osmóticos) y realizar una toilette bronquial que requiere asistencia en algunos casos. El uso de broncodilatadores inhalados puede ayudar. Hay que considerar el uso juicioso de antibióticos en cada episodio de exacerbación y en casos seleccionados pueden utilizarse en forma crónica.

 

Desde un punto de vista general, es importante evaluar y eventualmente tratar la Desnutrición que puede acompañar al cuadro. Además, es importante complementar esto con actividad física, pudiendo en algunos casos utilizarse un programa de Rehabilitación Pulmonar. En los casos más graves puede ser necesario suplementar el tratamiento con oxígeno.

 

En pacientes con sangrado bronquial importante o muy recurrente debe considerarse el tratamiento endovascular de embolización. La cirugía suele reservarse para pacientes con enfermedades muy localizadas responsables de infecciones de muy difícil tratamiento o sangrado grave.


¿Con qué especialista acudir?

El Neumonólogo es el especialista en la atención de las Bronquiectasias.

Dr. Pablo Rodríguez
Acreditado por: Dr. Pablo RodríguezNeumonólogo en Ciudad Autónoma de Buenos Aires (CABA)
5.0 |

81 opiniones

  • Doctores
  • Telemedicina
  • Clínicas y centros

Teclee el nombre de la Especialidad, de la Enfermedad o del Nombre del Doctor buscado

  • Sobre Top Doctors
  • Quiénes somos
  • ¿Por qué elegirnos?
  • Garantía de calidad
  • Cómo funciona el proceso de selección
  • Comité médico
  • Política de privacidad
  • Condiciones de uso
  • Política de cookies
  • Política de uso para aplicaciones de terceros
  • Profesionales de la salud
  • Doctores
  • Centros de excelencia
  • Empresas colaboradoras
  • Forme parte de Top Doctors
  • Atención al paciente
  • Directorios Médicos de Obras Sociales y Prepaga
  • Sugerencias y preguntas
  • Preguntas más frecuentes
  • Todos los tratamientos médicos
  • Prensa y medios
  • Medios de comunicación
  • Artículos médicos
  • Idiomas

Contacto

…

+54 (11) 68419961

Redes sociales
CertificadosComodo Secure
Política de privacidad y Condiciones de uso

Top Doctors Argentina | Paraná 830, Piso 31017. CABA Capital Federal, Argentina