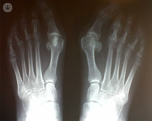
Cirugía del pie mínimamente invasiva
¿Qué es la cirugía del pie mínimamente invasiva? ¿Cuáles son las patologías más comunes en los pacientes? ¿Cómo se aplica? El Dr. Rabat, especialista en Traumatología, nos responde a estas preguntas explicando la evolución de la cirugía del pie y apuntando cómo podemos prevenir posibles lesiones.


